영등포치과, 효녀가 선물한 어머니의 전체 임플란트치료
페이지 정보
작성자 덴티스킨치과 작성일25-12-19 16:03 조회227회 댓글0건관련링크
본문
안녕하세요. 덴티스킨치과 한원장입니다.
오늘은 전체 임플란트치료에 대해 이야기 드리려고 하는데요.
70대의 여성분이셨고 따님분께서 직접 모시고 치과에 내원하셨습니다.
치아가 다 썩어 있는 상태였지만 치과 내원을 미루고 계셨다고 하네요.
따님분이 어머니의 치아 상태를 모르고 계셨다가 앞니가 부러지면서 보기가 흉해져 모시고 내원했는데 검사 결과를 보시고 많이 놀라셨습니다.
** 연세가 있으신 분들의 경우 치아가 불편할 때 스스로 치과를 내원하지 않은 경우가 많습니다.
이럴 때 자식분의 관심이 반드시 필요합니다. 전신적으로 몸이 나빠지기 전에 구강 기능을 회복하는 것이 요즘같은 장수시대에 꼭 필요합니다.
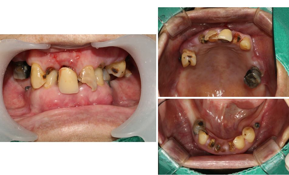
[초진 시 구강 상태]
• 모든 치아가 썩어서 파절되고, 교합이 맞지 않은 상태
• 음식물 섭취가 전혀 되고 있지 않은 상태 ( 이상태를 유지할 경우 위장관 문제로 이어질 수 있습니다.)
[치료 계획 및 과정]
• 70대지만 전신적으로 특이사항이 없고 잇몸뼈 상태가 양호하여 모든 치아를 발치한 후 전체 임플란트 치료를 진행
• 전체 치료 기간은 약 6개월
내원 당시 치아 상태
모든 치아가 썩어서 파절되고 교합이 없는 상태로 음식물 섭취가 전혀 되고 있지 않은 상태였습니다.
상악 전체 임플란트 식립
환자의 모든 상태를 고려하여 빠르고 안전한 임플란트 수술 진행
(수술 시간은 약 1시간 소요)
하악 전체 임플란트 식립
2주 정도 후에 하악 전체 임플란트 진행
(수술 시간은 약 1시간 소요)
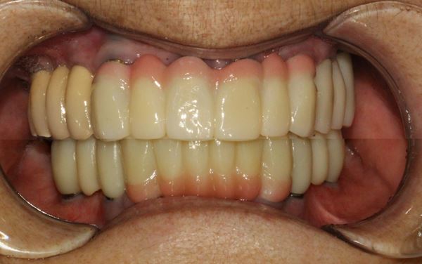
전체 보철물 세팅
6개월 정도 지난 후 임플란트 보철 세팅
보철이 없는 동안은 임시 의치(틀니)를 사용함
앞니의 경우 잇몸이 내려가서 치아 길이가 길어보일 수 있기 때문에 보철 부분에 잇몸 색상을 넣어서 자연스럽게 하였습니다.
치료 완료 후 6개월마다 정기검진을 통해 임플란트 상태를 체크해야 합니다.
임플란트는 치료가 끝난 후에도 정기적으로 관리를 해야 오래오래 튼튼하게 사용할 수 있습니다!



















