잇몸이 부운 치아 임플란트 치료 [한원장칼럼]
페이지 정보
작성자 덴티스킨치과 작성일25-11-05 15:47 조회261회 댓글0건관련링크
본문
안녕하세요.
영등포역치과 덴티스킨치과 한상윤 대표원장입니다.
오늘은 임플란트 수술 사례를 소개하도록 하겠습니다.
오늘 사례의 경우는 치아를 상실해서 임플란트 치료를 진행한 케이스는 아니고
잇몸이 너무 붓고 아파서 내원하셨다가 검사해보니 임플란트치료가 필요해서 진행한 사례입니다.
잇몸이 붓는 이유, 치과를 정기적으로 가야하는 이유를 확인할 수 있으니 끝까지 봐주시면 좋겠습니다^^
60대 남성
[ 초진 시 구강 상태 ]
- 내원 시 저작활동 시 통증, 어금니부위 잇몸이 부음
- 전반적으로 치아 마모가 심한 상태
- 치료한 지 오래된 치아라 치근이 파절되어 있고 치근 주위 치조골 상실이 심함 (많이 부어있음)
[ 치료 계획 ]
- 전반적인 치아 교합면 마모로 보철치료 필요함
- #46부위 임플란트 식립
사례를 자세히 보기 전에 우리가 흔하게 일상에서 겪을 수 있는 잇몸이 붓는 증상에 대해 먼저 살펴볼게요.

- 치아 주의 치태&치석이 많음
- 치아에 금 또는 파절이 있는 경우
- 치아 잇몸아래까지 썩은 경우
- 크라운 치료가 완료되었지만 치아 내부에 우식 발생
- 신경치료 된 크라운 치아 : 오랜 사용으로 금이 가거나 우식으로 치근 파절이 있을 수 있고,
이로 인해 치아 뿌리 주위 치조골 상실이 있을 수 있습니다.
- 치조골 상실이 오래 지속되면 저작 시 통증이 심해지고 치아 주위 잇몸에 고름이 나기 시작함
* 치료 및 발치 시기를 놓치면 골상실이 심해 치료 및 임플란트 치료 기간이 오래걸릴 수 있습니다.
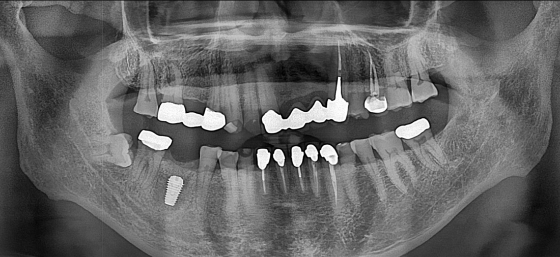
치료 전 파노라마

실제 환자분들은 치아에 문제가 있는지 모르는 경우가 굉장히 많습니다.
치과 정기 검진에서 문제가 있다고 해도 당장 불편한 증상이 없으면 더 사용하기를 원합니다.
음식물 저작시 통증이 지속되고, 잇몸에서 피나 고름이 나면서 부어오르면 그제서야 치과를 내원하시는데요.
위의 사례분의 사진도 보시면 통증이 없었기 때문에 방치하고 계시다가 잇몸이 붓고 아파서 내원 하셨습니다.
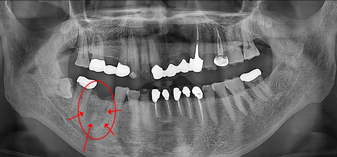
엑스레이상 #46 치아 주위 치조골은 모두 소실되었고 즉시 임플란트 치료를 하기에도 곤란한 상태였습니다.
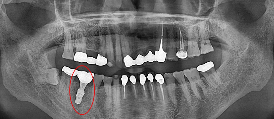
발치 후 치조골 이식
임플란트 식립

발치 부위 이식된 인공 뼈가 단단해진 후 임플란트 식립을 진행하였습니다.
임플란트 치료 완료




















