앞니 깨짐, 앞니 벌어짐, 시린이 : 앞니파절 치료 [한원장칼럼]
페이지 정보
작성자 덴티스킨치과 작성일25-11-05 15:16 조회266회 댓글0건관련링크
본문
오늘은 앞니 파절 치료에 대해 알아보려고 합니다.
오늘 사례분의 경우 50대셨고 앞니가 벌어지고 깨져서 내원하셨습니다. ^^
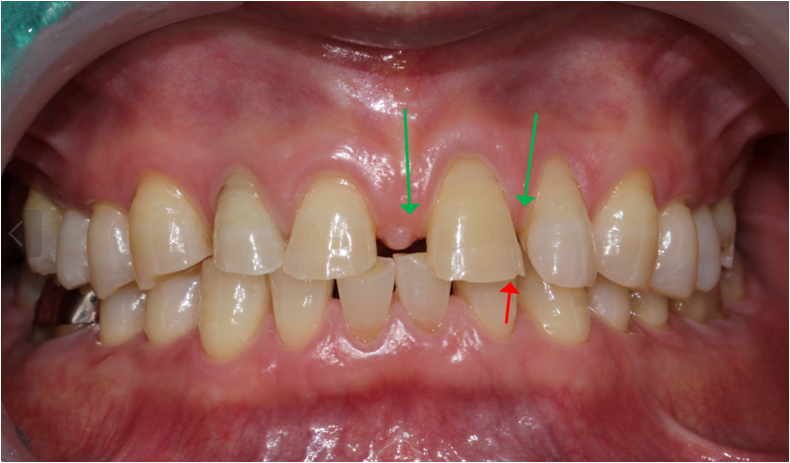
[ 초진 시 구강 상태 ]
- 앞니가 벌어지고 최근에 식사하다가 깨짐
- 어릴 때부터 앞니벌어짐이 콤플렉스였는데 최근에 깨져서 더 신경쓰이는 상태
- #12 치아는 어릴 때 신경치료를 받은 상태
- 전치부 교합이 강해 위, 아래 앞니 마모가 심한 상태
- 강한 교합으로 상악 앞니가 점점 벌어지고 있는 상태
- 마모가 심해 날카로워졌고 날카로워진 부위가 파절되어 내원
[ 치료 계획 및 과정 ]

어릴 때 부터 앞니가 벌어져 있었는데 점점 더 벌어지는 느낌이라고 하셨습니다.
상악, 하악, 전치부의 강한 교합으로 마모와 동시에 치아 벌어짐이 점점 심해지고 있는 상태였습니다.
마모로 날카로워진 부위가 식사하시면서 치아 파절로 이어졌고,
시린 증상도 동반되어 신경치료 후 심미보철 치료를 하기고 했습니다.
치료 전 파라노마

엑스레이 검사 결과, 치아 사이 벌어짐이 더욱 잘 관찰되었습니다.
마모가 심해지면서 치아 내 신경이 가까워지기 때문에 치아가 시린 현상
또는 통증이 발생할 수 있었습니다.
신경치료를 진행하여 시린현상을 없애고 마모를 막기 위해 크라운 치료를 하였습니다.
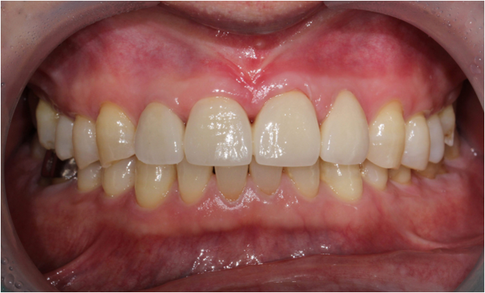
신경치료 후 심미보철

앞니 벌어짐은 라미네이트 치료를 고려할 수 있는데
해당 환자분의 경우 상악, 하악 전치부 교합이 강해 마모가 심한 상태고
시린증상도 있어서 신경치료를 진행하여 시린 증상을 유발하는 원인을 제거하고
크라운 보철치료를 하는 것으로 선택하였습니다.
앞니 심미보철 셋팅 완료

장기적으로 전치부 교합이 심해 마모가 심한 치아의 경우에는 라미네이트보단
전체 크라운 치료가 파절 가능성을 낮추고 치아 사이 벌어짐을 막을 수 있어서 좋은 치료 방법으로 고려됩니다 ^^
당장의 문제를 해결하기보다는 영등포치과, 덴티스킨치과의 경우
환자의 습관, 특성, 현재 치아 상태 등의 다양한 요소들을 파악하여 오래도록 문제없이
잘 사용하실 수 있도록 개인에게 맞는 치료를 진행하고 있습니다.
치아에 대한 고민, 걱정이 있으실 경우 걱정마시고 내원하시어 진료를 받아보시길 바랍니다.
해당 치료 사례는 환자분의 허락을 받고 업로드한 게시글입니다.



















